CT检查是生活中一种常规的检查项目,可以用于诊断多种疾病。有些医生会嘱咐患者在进行CT检查前多喝水,最好是憋尿之后再去做,那么,做CT为什么要喝水+憋尿呢?
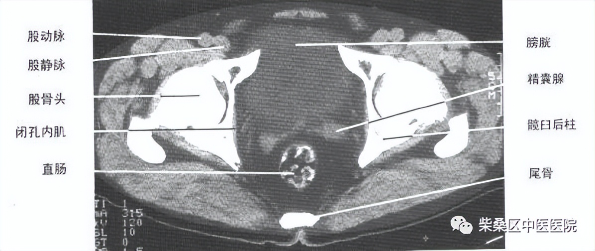
对于盆腔CT检查的患者需要憋尿。盆腔CT主要看膀胱、女性子宫、附件、直肠等。男性除膀胱以外,还需要看前列腺、直肠等。需要憋尿原因,主要是看膀胱内部结构,膀胱不充盈无法看清内部结构。

女性盆腔CT解剖结构

男性盆腔CT解剖结构
适当的憋尿,有利于将膀胱充盈起来,从而更好地观察到膀胱大小、形态、膀胱壁厚度,有没有病变及病变形态、大小、密度等情况。

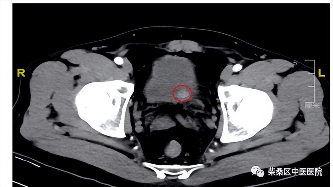
正常膀胱充盈可见水样密度影,还可以看见膀胱壁薄厚,正常充盈时,膀胱壁约5mm。例如膀胱有肿瘤、结石以及膀胱憩室等疾病时都需要在膀胱充盈状态时才会显示。另外在女性盆腔CT的检查中,充盈饱满的膀胱可以与子宫附件囊肿进行有效区分。




所以在进行盆腔CT检查之前可以适当的喝一些温开水,加快人体的新陈代谢,有助于尿液的分泌。使膀胱充盈饱满从而可以提升影像科医生对泌尿系统检查结果的准确性,更有助于病情的治疗。
此外在进行胃肠道疾病的CT检查时,适当的饮水有助于胃壁撑开、小肠道充盈,便于观察到胃肠壁的具体情况。