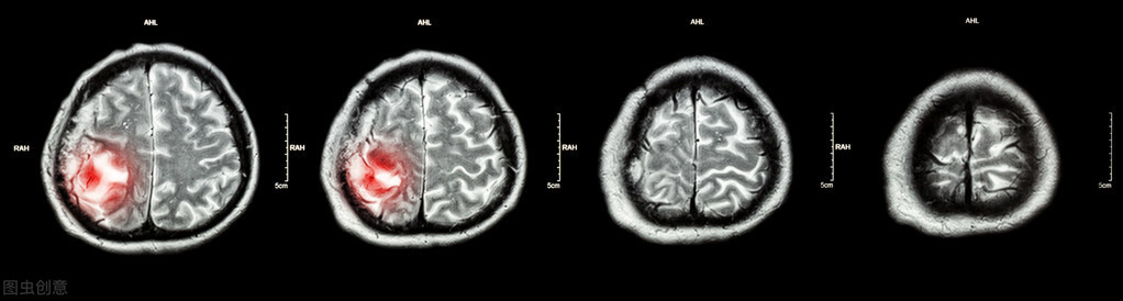
脑瘤是大脑或中央脊柱中组织的异常生长,会破坏正常的脑功能。医生根据肿瘤细胞的起源以及是否癌变(恶性)(良性)来指称肿瘤。

良性: 侵袭性最低的脑肿瘤通常称为良性脑瘤。它们起源于大脑内部或周围的细胞,不包含癌细胞,生长缓慢,并且通常具有清晰的边界,不会扩散到其他组织中。
恶性: 恶性脑肿瘤含有癌细胞,通常没有清晰的边界。它们被认为具有生命危险,因为它们迅速生长并侵入周围的脑组织。
原发性: 起源于脑细胞的肿瘤称为原发性脑瘤。原发性脑部肿瘤可能扩散到大脑其他部位或脊椎,但很少扩散到其他器官。
转移性: 转移性或继发性脑瘤始于身体的另一部分,然后扩散到大脑。这些肿瘤比原发性脑瘤更为常见,并以它们开始的位置命名。
脑肿瘤症状可根据肿瘤类型和位置而有所不同。有时候发现人脑瘤后可能没有任何症状反复头痛;视力问题;癫痫发作;人格改变;短期记忆丧失;协调不和;说话或理解困难。

有超过120种类型的大脑和中枢神经系统肿瘤。每个人的脑和脊髓肿瘤都不一样。它们形成在不同的区域,从不同的细胞类型发育而来,并且可能具有不同的治疗选择。
非癌性肿瘤
手术切除通常是安全的,可以治愈病人。然而,非常小的肿瘤和老年人的肿瘤只要不引起症状就可以留在原位。有时在手术后进行放射治疗以破坏任何残留的肿瘤细胞。
放射外科治疗脑膜瘤和听神经瘤等非癌性肿瘤是有效的 。因此,放射外科治疗常常被用来代替传统的手术治疗这些肿瘤。放射外科将高度聚焦的射线精确地对准肿瘤,不需要切口。为了更精确地聚焦辐射,医生经常使用立体定向技术,有时需要在头部附加一个框架来提供参考点。
脑癌
通常,手术,放射治疗和化疗的结合使用。尽可能安全地切除肿瘤,然后开始放射治疗。放射治疗持续数周。放射外科是在传统手术无法进行的情况下使用的,特别是对于转移瘤的治疗。
对于侵袭性很强的肿瘤,化疗与放疗同时进行。放射治疗加化疗很少能治愈肿瘤,但可能使肿瘤缩小到足以控制数月甚至数年。
放射治疗后,正在进行的化疗是用来治疗某些类型的恶性脑肿瘤。化疗似乎是特别有效的治疗间变性少突胶质瘤。

头骨内压力增加
这种极其严重的情况需要立即就医。如果人们处于昏迷状态或呼吸困难,可能会出现脑疝。为了帮助这些人呼吸,医生将一根塑料管穿过鼻子或嘴巴插入气管(气管),并将其连接到呼吸机上(这一过程称为气管内插管)。
这个过程不仅可以保持人们的呼吸,而且有助于降低颅骨内的压力,直到可以进行其他治疗。甘露醇和皮质类固醇等药物通常通过注射来降低压力和预防疝气。
它们可以减轻肿瘤周围的肿胀。在数天或数小时内,皮质类固醇通常能恢复因肿瘤而丧失的功能,并能缓解头痛和其他症状。
如果肿瘤阻塞了脑脊液通过大脑内部空间的流动,可以使用一种装置来排出脑脊液,从而降低脑脊液疝的风险。这个装置由一根小管子(导管)组成,管子与测量头骨内压力的压力计相连。
管子是通过在头骨上钻的一个小孔插入的。可使用局部麻醉剂(通常加镇静剂)或全身麻醉剂。几天后,管子被移除或转化为永久性引流管(分流管)。在此期间,医生通过手术切除肿瘤的全部或部分,或采用放射外科或放射治疗来缩小肿瘤的大小,从而解除肿瘤的阻塞。

转移瘤
治疗在很大程度上取决于癌症的起源地。针对脑转移的放射治疗经常被使用。放射治疗前的手术切除可能有利于只有一个转移的人。有时使用放射外科。化疗和免疫治疗可能有助于治疗某些类型癌症的转移。
寿命终止
患有脑癌的人预期寿命有限,如果没办法治疗,那么护理很重要,护理应该侧重于尽可能缓解症状(姑息治疗)而不是治愈患者的治疗可能更为合适。
#脑瘤##头痛耳鸣##头痛#