大家好,我叫肝血管瘤。
我是血管瘤家族的成员之一,作为一种疾病,我并不是穷凶极恶的坏蛋,多数情况下属于“良民”,就是你们说的良性疾病。
我的家族成员,都是些血管异常生长所形成的团块,因此,虽然我的名字里有一个肿瘤的“瘤”字,但我属于良性肿瘤,并非癌症。
根据生长的地方,我们会有各种各样的名字,比如儿童经常有生长在皮肤上的血管瘤,有时候也会长在脑内,叫脑动脉瘤。

而我生长在肝脏内,是肝脏最常见的间叶组织良性肿瘤。所谓的间叶组织,通俗地说,就是指肝细胞之间或周围的组织。有人还把我切开,能看到好多海绵状的间隙,所以又称我们为“海绵状血管瘤”。
在肝脏里面,我通常是独来独往,没有伙伴,医学上叫做“单发”,当然也有“多发”的。我的身体有大也有小,通常小到数毫米,大到超过20厘米。不过,大多数小于5厘米。那些大于5厘米的,叫做“巨大血管瘤”。

肝血管瘤常见吗?
我在人群中还是很常见的。不过,往往是在体检的时候被查出来,因为我通常并不会导致人们有明显的不舒服,这或许就是我的生存之道,默默陪伴着我的主人,深藏功与名!
有人统计过,大概0.4%~20%的人的肝脏里面有我的身影,平均患病率为5%~10%。而我尤其喜欢藏身在30~50岁的女性肝脏中,大约占60%~80%。大多数年轻女性,还因为有我的存在而更可能抱怨有各种各样的不舒服。
所以,你有血管瘤吗?您身边的人如果有10个人的话,可能还有一个人有,说明您并不孤单,you are not alone。

血管瘤的发病原因
导致肝血管瘤的发生原理,目前并不太清楚,这会引起一些人的担心。但我们虽然叫做“瘤”,却其实并不是一种细胞的无限生长和扩大,而是血管的扩张,或者可以称为先天性的血管畸形或错构瘤。
和那些实质细胞的无限制增长,抱团后长成肿瘤,并侵入周围脏器或者转移的真肿瘤相比,我是完全不一样的性质。所以,我并非十恶不赦,大家就不要这么纠结我的存在了吧。
有时候,在女性妊娠期,或者在用雌激素或黄体酮治疗期间,我们的体积会增大,但停止治疗之后又会回缩。这说明,我们可能跟人体内激素水平的变化有一定的关系。
但这也不是绝对的,因为在一些绝经后的女性,没有使用雌激素治疗的,其肝血管瘤也会生长。而且,我们的表面也没有发现有更多的雌激素受体。

肝血管瘤的微细结构
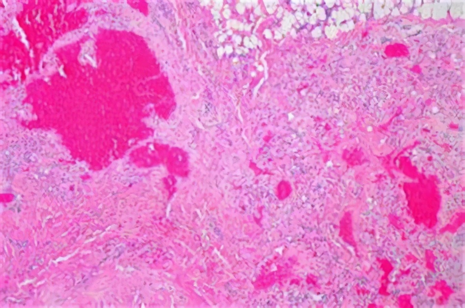
要了解我们,可以把我们切开,看看我们到底长什么样。
在做过肝血管瘤手术的患者现场,您可以看到,我们是边界清楚的、表面上覆盖了一层薄薄的、颜色比较深的、囊状的、可能还有蒂的“瘤”。
切开来以后,可以看到红棕色的海绵状结构,有时可能会出血,还会发现有疤痕和钙化,这说明我们可能在某个时期合并过炎症。
为了看得更细,切片可以放在显微镜下观察,能够看到更细微的结构,主要是有大小不等的海绵状血管腔,腔的内表面的内皮细胞内充满着血液,可能会发现血栓、结节和钙化。

肝血管瘤有什么症状?
如果一个人的肝脏里面有我们的身影,是否出现症状,跟我们的体积是不是很大有关。如果大于4厘米,大约有40%的人会出现相应的症状;大于10厘米的话,90%的人会有症状。
这些症状中,最常见的是腹痛、腹部不适感、右上腹闷胀、腹部胀满感。这个大家可以理解吧?如果你们吃得太饱了,或者喝得太多了,是不是也会有这种感觉?
但是,当一个人发现肝血管瘤,同时又有症状的时候,是不是表明这个症状一定是我们引起的呢?
也不一定。
据统计,大约54%的患者出现的腹痛和我们没有关系,是由其他原因引起的。
为什么这么说呢?
因为有些肝血管瘤的患者,由于症状严重去做手术了,但是做完手术之后,这些症状并没有得到改善,发现是其他的问题引起的腹痛等表现。
也有一些人。会出现一些少见的症状,比如恶心、厌食、早饱、反胃,这些倒有可能是我们引起的,因为我们体积很大的时候,可能会压迫旁边的脏器,比如胃和胰腺等等。
严重的时候,我们会引起急性腹痛,多半是因为我们发生了血栓形成或者出血,或者同时伴有炎症、牵拉导致的。
血栓形成和炎症的时候,症状可能会持续3周以上,同时伴有发热和肝功能异常等表现。
更严重的是发生在儿童的巨大肝血管瘤,可能会出现高输出量性的心衰和甲状腺功能减退,当然这是比较罕见的。

肝血管瘤有什么检查发现?
有肝血管瘤的患者,检查身体的时候通常是看不到摸不着的,但是偶尔也能够摸到肝脏的肿块,那是因为我们靠近肝脏的表面,有时候用听诊器还能听到血管杂音。
检查肝功能通常是正常的,但当出现血栓形成、出血,或者胆管树受压的时候,也会出现转氨酶、胆红素升高,或者类似于梗阻性黄疸的表现。
有一种肿瘤标志物叫做甲胎蛋白,在有肝脏恶性肿瘤的情况下通常会升高,但是由于我们是良性的“瘤”,甲胎蛋白是不会升高的。偶尔由于我们的存在,患者会出现碱性磷酸酶的升高。

肝血管瘤的自然病程
人们对我的自然病程尚未完全了解,因为我们有时候变化不定,时而表现得非常淡定,基本上没什么变化,有时候又会不断地长大,甚至有时候还会消失,使大家琢磨不透。
但是科学家并没有停止对我们的观察,很多人对我们观察了1~10年,发现我们的进展率是18%~39%。
比如有一个研究团队,观察了47例68个肝血管瘤1~6年,发现:有56个肝血管瘤是没有任何改变的,占82%;有3个消失了;7个缩小至不明显;1个变小;只有1个增大。

还有一些研究人员对我们观察了15~20年,发现大多数人都是没有症状的,生活质量也没有任何的影响,有的即使有症状也不会加重。
甚至,在有对我们有记载的100年历史当中,只有28例发生了严重的事件,那就是我们的身体自己破裂了。
要引起注意的是,我们体积更大的时候是更有可能增长的。所以,如果你的体内发现我们明显在增大,而且有症状,最好是果断地把我们切掉。

如何诊断肝血管瘤?
大多数人发现我们的存在,是在体检过程中,检查的手段包括X线平片、超声、磁共振、CT和血管造影,等等。
X线片
往往不能看到我们完整的轮廓,但是可能会显示我们内部的。

彩超
做超声检查的话,你会发现我们与肝脏周围组织边界是清楚的,互不干扰。我们内部的结构比较均匀,呈高的或强的回声肿块。但是,并非所有人的血管瘤都是高回声的,大约67%~79%的人是这样的。
少部分人可能会表现为低回声,这个多见于脂肪肝的患者,由于我们的周围肝实质通常有一些明亮的信号,干扰了超声的显示。
不过当我们的体积大于5厘米的时候,由于内部有血栓或者纤维化形成,可能会出现混合性的回声。
这里面有一点就要特别引起注意了,因为有一些恶性的疾病,比如说肝癌和肝转移性的肿瘤,如神经内分泌肝转移瘤或肺癌肝转移,他们的超声变化是相似的,需要做分辨率高的其他检查来诊断。
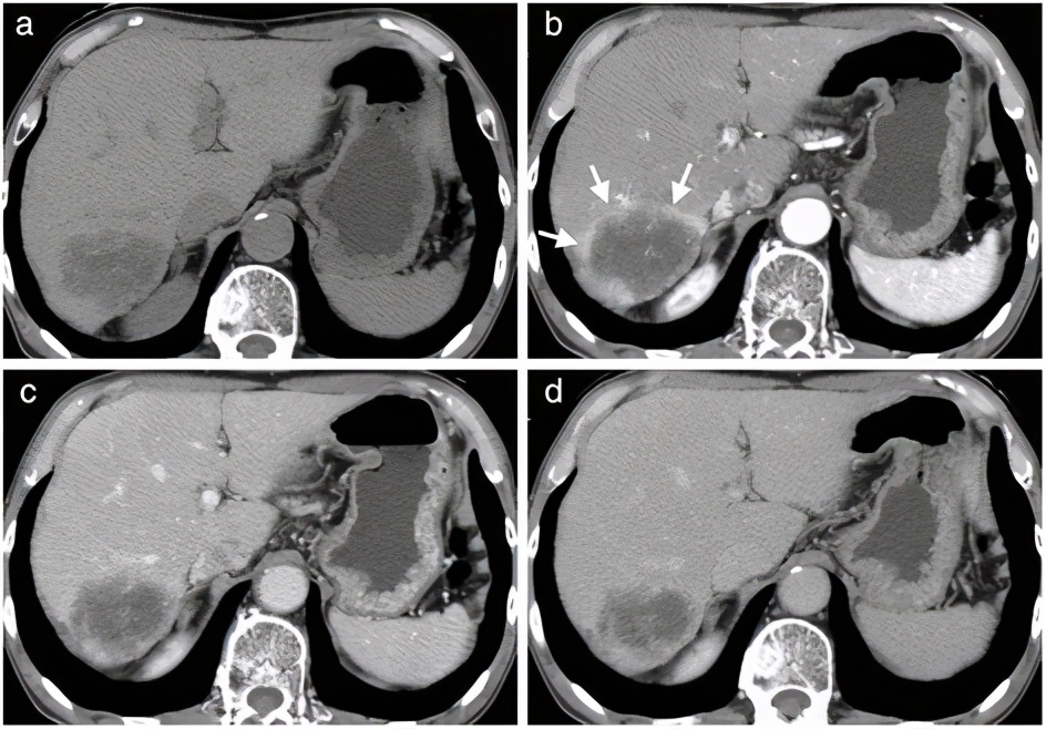
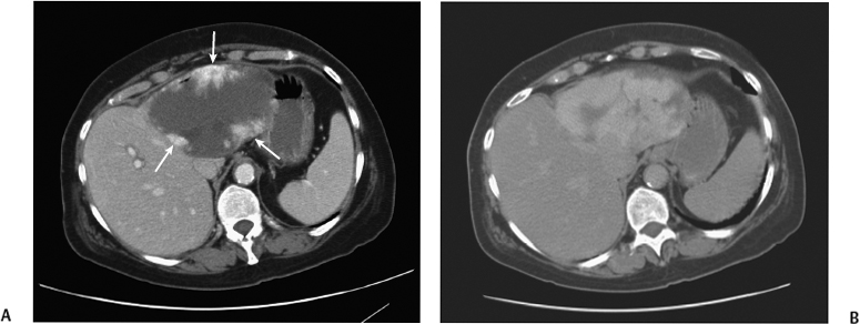
这些分辨率更高的检查,就是对比、增强的CT或者磁共振检查。如果依然不能确定,需要3~6个月后复查,看看病灶是否稳定。如果怀疑是肺癌肝转移,需要同时做胸片或者胸部的CT。

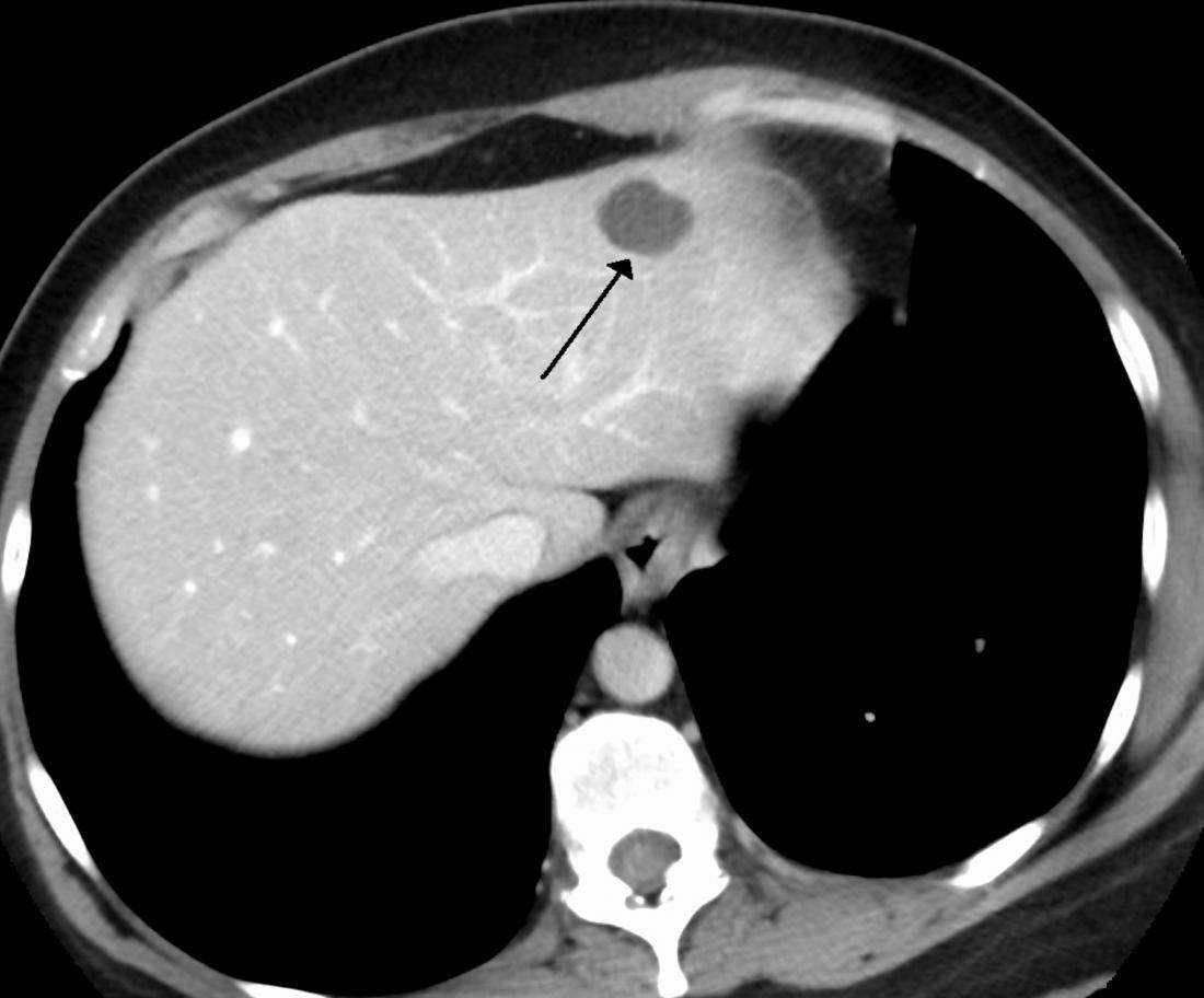
CT
要看清楚我们,CT检查是更清楚的。在CT下的我们,也是边界清楚的,呈低密度的肿块。大约10%的我们,可以同时发现里面有一些钙化灶。

磁共振
磁共振是更准确的无创性检查,检查的敏感性和特异性都是很高的,表现为呈边界清楚的、光滑的、均匀性质的肿块。但也有一些会跟血液供应丰富的癌症转移灶类似,要引起注意。

其他检查
血管造影的检查,对于做增强CT和磁共振仍然不能确诊的,或者有恶性肿瘤病史和慢性肝病史者,怀疑不是血管瘤的,可能需要做血管造影。
其他的一些检查,包括甲胎蛋白检查、细针穿刺活检,但活检是有争议的,因为很可能会出现致命性的出血,而且诊断的检出率是比较低的。

肝血管瘤如何治疗?
这是人们最关心的问题。有的人发现我们以后会很焦虑,恨不得马上让我们消失。但是,你可以暂时打消这个想法,因为大多数情况下,我们是不会为非作歹的。
第一、安抚和观察。
对于心理比较脆弱的人或者没有相关疾病知识的人,最重要的是做必要的安抚和思想工作,同时对血管瘤予以观察。主要是定期复查,每隔6~12个月查一次,建议至少要做一次CT或者磁共振。

第二、鉴别诊断。
对于有症状的患者,要评估引起疼痛的是否有其他的原因,是否有并发症,比如说有没有破裂出血或者腹膜内出血,能不能排除恶性肿瘤,等等。

第三、手术治疗
大多数情况下不需要手术,只有2%的我们的同类需要手术治疗。
手术的办法包括:肝部分切除、血管瘤剜除术、肝动脉结扎和肝脏移植等。
还有一些其他的治疗,由于太专业了就不说得那么详细了。对于普通的人来说,了解也没有多大的意义,或者说,如果需要了解的话,可以直接去医院就诊。
这些治疗,包括:经导管肝动脉栓塞,用于治疗急性出血,不过这种办法容易引起肝脓肿;血管瘤-血小板减少性紫癜综合征的患者可能需要放疗;使用重组人干扰素α2a,用于治疗婴儿危及生命的肝外血管瘤。
前面说过,我们的发生跟妊娠和雌性激素治疗有一定的关系。那么,是否有肝血管瘤的女性要避免妊娠呢?这个仍然存在一定的争议。但是,有这样问题的患者,需要和医生进行良好的沟通,以免在妊娠和分娩过程中出现疾病的变化。

小结
我是肝血管瘤,在大多数情况下,我存在于人的肝脏内,并不会兴风作浪,所以是不需要吃药的。只有少部分会出现症状和其他的一些并发症的人,需要积极治疗。
无论什么时候,病人有慢性肝病或者恶性肿瘤病史,B超或者CT发现肝血管瘤存在时,应该要提高警惕,因为血液供应丰富的恶性病变,有时候也有和我们类似的改变。
好了,我的自我介绍就到这里了,你了解了吗?欢迎在评论区讨论。
最后,强调一句,如果你的体内确定有我存在,首选的治疗是:不治疗!

我是一位热爱科普的临床医生,看病、咨询,答疑、解惑,科普医学知识,在匆忙的临床工作中,体会温暖文字的力量!
如果这篇文章对您有用,欢迎点赞、评论、转发、赞赏和收藏。想了解更多的医学知识,敬请关注龙医生!
#谣零零计划#
#老当益壮#