记得在学生时代的时候,有一段时间都很迷恋深度清洁,每天恨不得用磨砂膏把脸洗N次,感觉每次洗完脸又白又嫩又滑,那种假滑感真的谁摸谁知道。可是就在在这种懵懵懂懂不懂护肤知识的情况下,硬生生的把屏障磨没了,日积月累就成了最让人痛苦的激素脸!

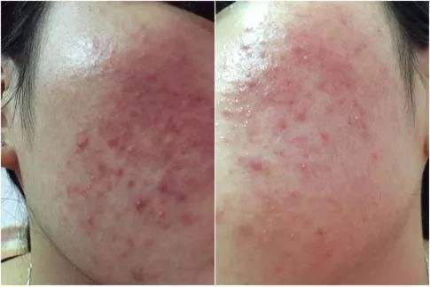
激素脸是什么样子的?
激素脸就是一旦角质层在出现劣质的受损之后,不管你涂抹再多再好的护肤品都不会再被吸收,而且还会在角质层形成代谢垃圾,时间久了皮肤的承受就会上线,发生各种各样的炎症。这就是所谓的激素脸!

激素脸如何拯救?
1.需要停用所有护肤品,避免皮肤再次受到伤害!因为激素脸的皮肤已经是弱不禁风,使用任何产品对激素脸来说都会造成负担。因此,在激素脸的修复过程中是不建议使用任何护肤产品!
2.不能相信偏方。往往很多人遇到一些比较顽固而且不易治疗的病,都会想到偏方。而偏方对于激素脸来说那是不科学的,因为偏方既没有科学根据也没有临床数据。一旦使用有可能还会出现严重过敏,甚至加重病情!

有的人听说中医好,就会选择喝中药缓解,有些自称是老中医的人会在网上散播治疗激素脸的中配方。其实很多效果没有那么好,治不好也治不坏。如果身体本来就不好的人,皮肤没有治好,反而让身体也受到了一定的伤害。
3.注意饮食。虽然良好的饮食习惯不能治愈激素脸,但能起到缓解和预防的作用。像烧烤、辛辣、发物等刺激类食物都不能再吃,一些蔬菜水果还有含维生素多的食物可以适当补充,要相信好的饮食习惯总能给身体带来健康的!

激素脸和敏感肌肤一样都非常的缺水,发红发热是激素脸最主要的表现形式之一,因此日常对激素脸的补水保湿功课必不能少,主要是补水可以增强肌肤自身的稳定性,这样就会缓解肌肤经常出现的泛红以及发痒的情况,从而就能对激素脸起到不错的缓解功效。

治疗激素脸就是修复受损的皮肤屏障,原理:舒敏、抗炎、保湿、修复。修复产品需要选用医学级护肤品,而不是日常护肤品。市场上医学护肤品种类繁多,真正有效果的其实凤毛麟角,激素脸虽然难治,但是办法总比困难多。
激素脸修复期间以上这几点一定要注意哦,特别是第二点!治疗激素脸一定要找到适合自己的方法,并且坚持下去!赶紧行动起来吧,美丽总会在前方眷顾大家。
快来关注我鸭,每天获取更多变美知识,要你以后每天都变好看!
注:部分图片来源网络,侵删!