
栏目介绍

《必杀技》是“心在线”与航天中心医院赵运涛医生及其团队独家合作的专栏,隔周周四与您相约。“福尔摩斯医生”目光犀利,能从细微之处洞察临床事件本质,并教给您临床诊断的必杀技能。
我们一般认为,传统右室起搏时心电图出现右束支传导阻滞(RBBB)图形,电极导线可能误入左室或者出现电极穿孔可能;然而,很多情况下电极确实是在右室。这里我们将结合临床中的一份具体病例和几篇文献教你识别起搏心电图出现RBBB时电极到底是在左室还是右室,帮你修炼出一双“火眼金睛”。
一 病例分享
患者,女性,73岁,既往因病态窦房结综合征而植入右室单腔起搏器,此次门诊复诊行心电图检查如下。

图1. 患者门诊心电图呈VVI起搏(心率60次/分)。
大家可能注意到,患者此次复诊的心电图V1导联的QRS波向上,呈类“RBBB”样图形,和平常我们认为右室起搏时心电图呈类“左束支传导阻滞(LBBB)”的图形相反,难道是电极穿孔了?我们的“福尔摩斯医生”看到这份心电图,肯定地说没有穿孔,电极是在右室,而随后患者的胸片和胸部CT检查也证实了电极确实是在右室。

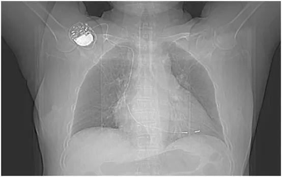
图2. 患者的胸部正位片。

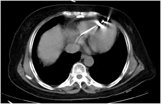
图3. 患者的胸部CT检查证实起搏电极位于右室心尖。
那么,究竟“福尔摩斯医生”是如何一眼看出患者的电极是在右室,而不是出现了电极穿孔?下面我们来看看如何从心电图上识别出起搏时呈RBBB图形时电极的真正位置。
二 知识拓展
1. 起搏心电图呈RBBB时电极位置的判断方法
目前普遍认为,传统右室起搏时心电图会呈LBBB图形;RBBB图形出现在右室起搏时会让人怀疑电级导线进入左室,这可能是出现了电极穿孔,或更为少见的原因,如房间隔或室间隔缺损而电极进入左室或电极无意中放入冠状窦的分支中所致。然而,很多情况下电极确实是在右室,这种现象并不少见。不同的临床研究发现,右室起搏时心电图出现类似RBBB图形的几率在8%~16.6%之间。这里我们将通过以下几个方面来识别起搏心电图呈RBBB图形时电极是在右室还是左室。
(1)通过额面电轴来判断
相关研究表明,心电图的额面电轴可以将电极位于右室还是左室区分开来,起搏心电图呈RBBB图形时,当额面电轴指向左上象限时,提示电极在右室位置;而指向右上象限时,则提示电极很可能位于左室。
Marwan Refaat[1]曾对2005年1月至2007年1月在麻省总医院植入心脏起搏器或皮下心脏复律除颤器(ICD)的患者进行研究,共纳入356例患者,其中302例接受右室起搏,54例接受双室起搏。右室起搏和双室起搏(双室起搏被程控为左室起搏模式并排除融合波)患者中,各有50例患者的心电图具有RBBB形态。
对两组中呈RBBB的患者进行额面电轴分析,结果发现,右室起搏与左上象限(0°~-90°)的平均额面电轴相关(敏感性76%,特异性64%)。而左室起搏患者的平均额面电轴主要位于右上象限(-90~±180)。所以,当起搏心电图出现RBBB图形且额面电轴指向左上象限时,应考虑起搏电极位于右室的可能性。

图4. A图:左室起搏时额面电轴位于右上象限;B图:右室起搏时额面电轴位于左上象限。
从上可以看出在右室起搏时,电轴向量指向左,而与V1导联是否呈RBBB样图形或LBBB样图形无关。因而,I导联QRS波按预期应该呈正向,当起搏心电图呈RBBB图形时,相对于额面电轴,I导联正向可以看作是起搏电极位于右室的良好替代指标。
(2)通过胸前移行导联来判断
除了额面电轴,我们也可以通过胸前移行导联来判断起搏电极的位置。Stylianos Tzeis[2]曾对226例右室起搏患者进行研究,其中右室心尖部起搏占53.1%,其余为右室间隔部起搏。其中35例患者出现RBBB图形(发生率为15.5%),在这其中有91.4%的患者额面电轴在-30°~-90°,35例患者V3导联的QRS波100%呈负向。

图5. 35例右室起搏心电图呈RBBB图形的患者V1~V4胸导联QRS波形的变化。

图6. 一位右室心尖部起搏时呈RBBB图形的患者心电图,可以看到该患者的胸前移行导联(从正向变为负向)≤V3,并且其额面电轴位于左上象限。
据多项研究报道,V3导联移行出现主波向下,对识别电极位于右室的敏感性在56%~97%,特异性达100%。而移行导联≤V3加上电轴位于左上象限,能大大提高右室电极判断的准确性[ 3 ]。

图7. 额面电轴和移行导联识别心室电极位置的敏感性和特异性。
(3)通过V1V2导联的位移操作来判断
除了前面提到的两种方法,还可以通过接下来这项有趣的操作来帮助我们判断起搏电极的位置。Mohammed Almehairi[4]曾对943例患者进行了一项有趣的研究,对2000年1月至2013年10月间在其中心植入单腔或双腔起搏器及心脏除颤器后起搏心电图表现为RBBB的患者进行了回顾性分析。
其中77例患者在右室起搏期间发现了类RBBB图形(占患者总数的8.1%),并联系到其中的26例作为研究A组,其中25例患者的电极位于右室心尖部,1例患者的电极在右室前中间隔。选择10例左室起搏患者作为对照组(B组),其中包括随机入选的8例心外膜左室电极植入(CRT)患者和2例心内膜左室电极植入患者。最后随机选择10例常见起搏时为LBBB的患者作为C组。以上患者均通过胸片和经胸超声心动图证实心室电极位置。
接着Mohammed Almehairi对这三组患者的V1、V2导联进行了位移操作。首先在标准位置(第4肋间)记录心电图,接着将V1~V2导联向下移位到第5肋间和第6肋间,并分别记录心电图,希望借助此操作来揭露隐匿性的LBBB。

图8. A图为右室起搏期间患者的心电图。V1~V2导联在第四肋间处可以观察到类似RBBB的图形(V1呈单向R波)。当V1~V2导联向下移到第六肋间时,我们看到类RBBB图形过渡到类LBBB的图形(V1呈QS型)。B图为CRT患者设置为左室起搏模式期间的心电图。在标准位置V1~V2导联可以观察到类RBBB的图形(在V1中为R),而当V1~V2导联向下移动到第五和第六肋间时,RBBB会持续存在,并不会发生改变。
该结果发现,将A组(右室起搏心电图呈RBBB图形)患者的V1和V2导联向下移至第5肋间时,14例患者的心电图由RBBB图形变成类LBBB的QS图形(敏感性53%,特异性100%)。当V1和V2导联继续下移至第6肋间时,A组所有患者均出现了类LBBB的QS图形。而B组(左室起搏)患者的V1和V2导联下移至第5和第6肋间时,V1、V2导联则是持续的单向R波。C组(随机分配组),对第4肋间为典型的LBBB图形进行研究的10例患者中,在导联上移至第2、第3肋间时有3例表现出了RBBB样图形。
该研究表明,对于起搏心电图出现RBBB图形的患者,将V1、V2导联向下移至第6肋间时,右室起搏患者的心电图100%出现LBBB图形,而左室起搏患者的RBBB图形随着V1和V2导联位置的下移并不会改变,因此可以借此准确识别出真正的右心室起搏。
2. 右室起搏时出现RBBB的机制
右室起搏时出现RBBB的机制,已经有人提出了解剖畸形的假设来解释右室起搏期间发生RBBB的原因。起搏时右束支的逆行穿透以及在左束支上的顺行传导也可能解释了右室起搏期间RBBB图形的发生。有些不排除潜在的传导系统严重疾病,右室起搏期间的RBBB图形可能反映了右心室的潜在延迟激活。
最后,该现象可能与心脏相对于水平面中的记录导联的相对解剖位置有关,V1-V2导联放置不正确,比标准导联位置高1或2个肋间可能会导致RBBB,就像在许多右室起搏的患者中出现RBBB图形一样。Mohammed Almehairi[4]研究中的C组在V1-V2导联上移至第2、第3肋间时有3例出现RBBB样图形。
三 总结
自从起搏器植入以来,就认为传统右室起搏时心电图出现RBBB图形,预示着电极可能进入左室,这可能导致不利的临床后果,主要是系统性血栓栓塞。此时除了通过胸片、CT和超声心动图等检查来确定电极的位置外,还可以通过以下心电图特点来对心室电极的位置进行初步识别。
(1)当额面电轴指向左上象限时,提示电极在右室位置,而指向右上象限时电极则很可能位于左室。额面电轴对电极定位的敏感性、特异性均为90%。而I导联正向可以看作是起搏电极位于右室的良好替代指标。
(2)在所有经过验证的心电图标准中,心前区移行导联≤V3提示起搏电极位于右室,并且表现出比较好的准确性,敏感性96%,特异性100%。移行导联≤V3加上电轴位于左上象限,能大大提高右室电极判断的准确性。
(3)最后对于在起搏时心电图上出现RBBB的患者,将V1~V2导联下移至第6肋间,可以准确识别出真正的右室起搏,敏感性和特异性达100%。
以上这几种方法为我们提供了一种快速、便宜、可靠的方法来鉴别植入心脏起搏器后出现RBBB形态特征的患者是否为真正右室的起搏,可以帮助我们初步判断电极位置,并可以在双室起搏期间帮助确定某些情况下的左室电极位置,以及帮助评价CRT是否出现左室失夺获等情况。
学习到这里,回到最开始的病例,该患者心电图的额面电轴位于左上象限,胸前移行导联≤V3。相信凭借大家的“火眼金睛”,此时也能一眼看出电极的位置是位于右室。这项技能你get了吗?
参考文献
1. Marwan Refaat, Moussa Mansour, Jagmeet P. Singh, et al. Electrocardiographic characteristics in right ventricular vs biventricular pacing in patients with paced right bundle-branch block QRS pattern. Journal of Electrocardiology 44 (2011) 289-295.
2. Stylianos Tzeis, George Andrikopoulos, Severin Weigand, et al. Right Bundle Branch Block-Like Pattern During Uncomplicated Right Ventricular Pacing and the Effect of Pacing Site. Am J Cardiol 2016; 117: 935e939.
3. Mohammed Almehairi, Fariha Sadiq Ali, Andres Enriquez, et al. Electrocardiographic algorithms to predict true right ventricular pacing in the presence of right bundle branch block-like pattern. International Journal of Cardiology 172 (2014) e403-e405.
4. Mohammed Almehairi, Andres Enriquez, Damian Redfearn, et al. Right Bundle Branch Block Like Pattern During Ventricular Pacing: A Surface Electrocardiographic Mapping Technique to Locate the Ventricular Lead. Canadian Journal of Cardiology (2015) 1e6.
作者介绍

杨小燕,湖南省人民医院心内科起搏电生理方向在读硕士。

赵运涛,副主任医师,北京大学医学博士,现任职于北京大学航天中心医院。现任中国心电学会无创心脏电生理专业委员会常委;北京医学会心电生理和起搏分会青年委员会委员。《心电图杂志(电子版)》常务编委。以第一作者发表SCI论文18篇,分别发表于《Annals of Internal Medicine》、《BMJ》(case review)及《circulation》(cases and traces)等国际著名杂志。《Annals of Internal Medicine》、《Heart》及《Plos One》审稿人。
作者授权“心在线”独家刊登,欢迎转发,谢绝转载,保护版权,违者必究。
往期推荐
-
必杀技丨室间隔部起搏心电图:如何鉴别T波记忆与缺血性T波?
-
必杀技丨Epsilon波≠ARVC,还要想到这种心肌病
-
必杀技丨高危猝死心肌病的另一种类型——致心律失常性左室心肌病
-
必杀技丨运动后晕厥,另有蹊跷
-
必杀技丨一招教你辨"雄雌" — "8+2"鉴别诊断
-
【必杀技】表里不一的高钾血症心电图
-
【必杀技】值班掌中宝——Lewis导联:心电图的"照妖镜"
-
【必杀技】为前壁心梗"测八字":细微前壁心梗(Subtle anteriorSTEMI)的诊断计算公式
-
【必杀技】V1~V3导联ST段抬高就是前壁心梗吗?
-
【必杀技】运动诱发的左束支传导阻滞也会胸痛
-
【必杀技】心脏受压导致的Brugada拟表型
-
【必杀技】学会这一招,罕见病不再罕见
-
【必杀技】抗心律失常药物引起的宽QRS波心动过速,另有玄机!
-
【必杀技】窄QRS波就诊断为室上速?或许您已经“out”了
-
【必杀技】没想到,旁道前传竟会这样“伤心”
-
【必杀技】Too Young Too Simple,“6+2 现象”就是左主干病变?
-
【必杀技】LBBB还有分型,你知道吗?
-
【必杀技】从“急性前壁心肌梗死”中识别应激性心肌病的秒杀技巧
-
【必杀技】急性前壁心肌梗死vs应激性心肌病秒杀技巧背后的秘密
-
【必杀技】看完这篇,下次见到CK-MB>CK,不要再找心内科会诊了!
-
【必杀技】发热-酮症酸中毒-淀粉酶升高-ST段抬高,“蝴蝶效应”谜底是什么?
-
【必杀技】急性心肌梗死or应激性心肌病?是时候测试你的火眼金睛了!
-
【必杀技】“挑战不可能”根据胸导联T波定位罪犯血管
-
【必杀技】这种肺栓塞心电图,死神在向他招手~
-
【必杀技】揭开肺栓塞“必杀~V3导联ST段抬高”的神秘面纱
-
【必杀技】肺栓塞诊断蛛丝马迹--V1-V3和下壁导联T波倒置
-
【必杀技】披着狼皮的羊:被误诊的右室心肌缺血
-
【必杀技】ST段抬高的奇特病因:膈肌上抬
-
【必杀技】高钾血症诱导的Brugada波
-
【必杀技】"假房颤"三重奏:irregularly irregular VS. regularly irregular
-
【必杀技】起搏器心电图:如何鉴别T波记忆与缺血性T波
-
【必杀技】新发or陈旧性左束支传导阻滞?
-
【必杀技】2:1房室阻滞:电和机械的秘密
-
【必杀技】2:1房室阻滞背后的秘密——心脏结节病
-
【必杀技】“涨姿势”吞咽诱发的房速竟导致晕厥
-
【必杀技】慧眼识别冠脉开口病变的真凶“大动脉炎”
-
【必杀技】“揭秘”罕见、危险的房室阻滞:运动诱发的房室阻滞
-
【必杀技】身体里的“隐形”杀手——嗜铬细胞瘤
-
【必杀技】涨知识:原来LBBB也会导致胸痛
-
【必杀技】众里寻"Ta"千百度:心房复极波与ST段抬高
-
【必杀技】"揭秘"心脏震击猝死综合征的特殊类型——缓慢型心律失常
-
【必杀技】易被忽略的阻滞类型——房间阻滞
-
【必杀技】室性早搏导致的慢性咳嗽,你见过吗?
-
【必杀技】电与结构不匹配的“淀粉”大餐(一)
-
【必杀技】电与结构运动不匹配的淀粉大餐(二):聚焦心房
-
【必杀技】舒张性心衰的另类病因——双房收缩不同步
-
【必杀技】评价心功能,射血分数是否应该废弃?
